Visite vétérinaire

Nous pouvons nous déplacer rapidement pour une visite urgence, suite à à un problème pathologique grave ou préoccupant.
Les visites de suivi vétérinaires, régulières, programmées à l’avance (contrat) ont pour objectif de diminuer de manière sensible et continue vos taux de mortalité et d’améliorer la qualité de vos produits. Elles sont l’occasion de mettre en place des protocoles sanitaires ou des méthodes de travail efficientes.
De par leur mandat sanitaire, les vétérinaires du cabinet VetoFish sont habilités à réaliser les opérations de prophylaxie collective dirigées par l’Etat : toutes opérations de surveillance et de police sanitaire ainsi que toutes missions particulières prescrites par le Ministère de l’Agriculture.
Audit vétérinaire

L’audit, exercé par le cabinet VetoFish, est un processus méthodique, indépendant et documenté permettant de recueillir des informations objectives pour identifier les dysfonctionnements d’un établissement et les points nécessaires à l’améliorer de sa conduite.
C’est l’occasion de faire avec vous un état des lieux de votre établissement et discuter de vos objectifs afin de proposer des changements et améliorations nécessaires à leurs réalisations.
Téléassistance

Une session de téléassistance vétérinaire est une assistance médicale pour des poissons qui ne nécessite pas le déplacement d’un vétérinaire.
Un des vétérinaires du cabinet VetoFish vous répondra dans les plus brefs délais par téléphone ou email selon la nature de votre requête.
Ce service de téléassistance s’adresse aux particuliers (règlement en ligne sur la boutique) et aux professionnels (nous contacter directement).
Dossier sanitaire en ligne

AquaVeto est un service en ligne, proposé gratuitement à nos clients qui vous donne accès à un dossier sanitaire électronique complet et sécurisé.
Une fois connecté(e), vous pourrez consulter vos résultats d’analyses, les ordonnances vétérinaires, des fiches de données de sécurité, le suivi des colis, une documentation spécifique, les comptes-rendus de visite, une galerie de photographies …
Vous pouvez même enrichir votre propre dossier sanitaire en signalant des maladies ou en renseignant le registre des soins vétérinaires.
Imagerie

L’échographie est une technique d’imagerie employant des ultrasons.
En déplacement, nous pouvons être amené à utiliser notre échographe pour explorer les organes internes de gros spécimens de poissons de façon non invasive (diagnostic de gestion, recherche de tumeur …).
Analyses de laboratoire

Nous sommes en mesure d’effectuer un large éventail d’analyses :
- Autopsies, y compris de gros spécimen comme les élasmobranches ;
- Bactériologie : identification de germes bactériens et détermination de l’antibiogramme ;
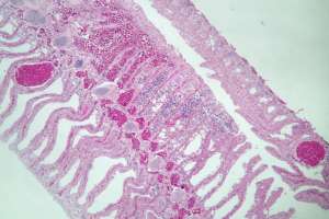
- Histologie (étude microscopique de coupes ultrafines d’organes). Nous mettons à votre disposition gratuitement des kits d’envoi lors de nos visites ;
- Biologie moléculaire (PCR) sur les principaux agents pathogènes des poissons en amphibiens ;
- Virologie par culture cellulaire de salmonidés ou de cyprinidés
- Analyses d’eau : paramètres physico-chimiques, dosage de polluants
Médicaments vétérinaires

Prescription et délivrance de médicaments vétérinaires.
Fabrication de préparations magistrales adaptées aux poissons d’ornement.
Vente de compléments alimentaires aquacoles.
Formation professionnelle

Nos formations s’articulent autour des thématiques suivantes :
- bonnes pratiques d’élevage, d’hygiène et de désinfection.
- microscopie, autopsie et prélèvements pour analyses
- maladies des poissons, prévention et méthodes de lutte
VetoFish est un organisme de formation enregistré auprès de la DIRRECT (Direction régionale des entreprises, de la concurrence, du travail et de l’emploi) sous le numéro 93 13 13213 13.
Boutique en ligne

Vous pouvez commander en ligne du petit matériel de soin (ustensiles, produits d’asepsie, seringues et aiguilles), des désinfectants adaptés à l’élevage ou bien des services (téléassistance, analyses).
Venez découvrir la gamme d’aliment Kenzai spécifiquement développée pour les carpes kois.

